Validation Data Gallery
Tested Applications
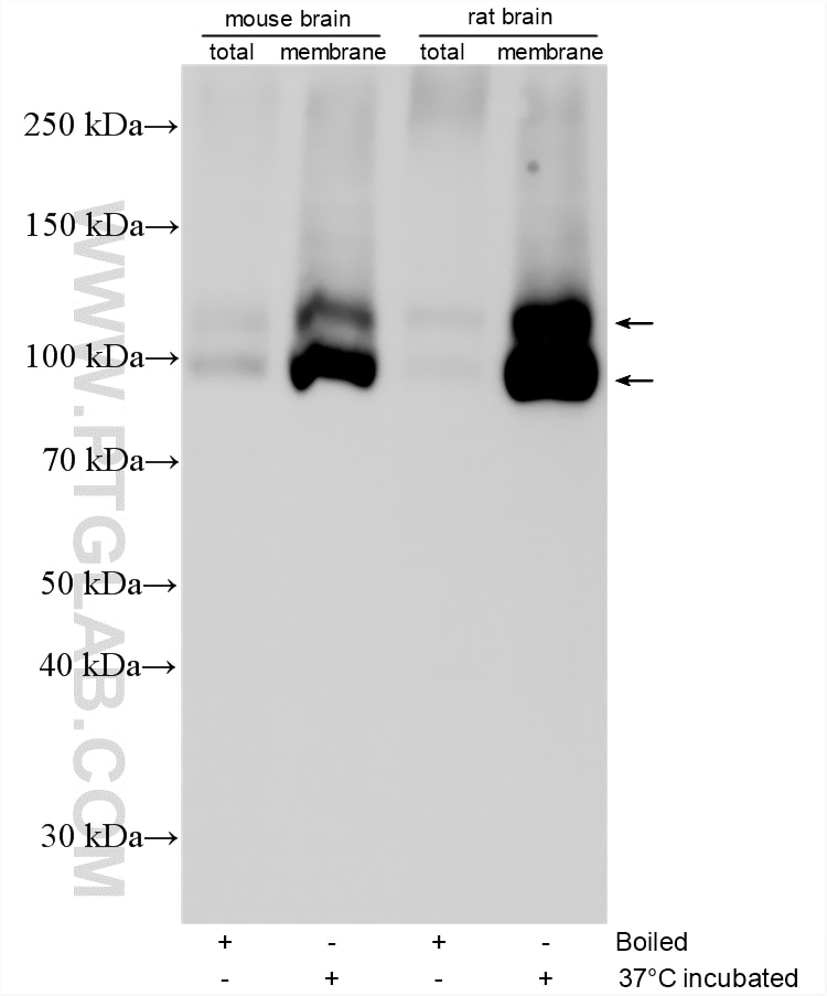
| Positive WB detected in | mouse brain tissue, 37°C incubated mouse brain tissue, rat brain tissue, 37°C incubated rat brain tissue |
| Positive IHC detected in | mouse brain tissue, rat brain tissue Note: suggested antigen retrieval with TE buffer pH 9.0; (*) Alternatively, antigen retrieval may be performed with citrate buffer pH 6.0 |
Recommended dilution
| Application | Dilution |
|---|---|
| Western Blot (WB) | WB : 1:500-1:2000 |
| Immunohistochemistry (IHC) | IHC : 1:50-1:500 |
| It is recommended that this reagent should be titrated in each testing system to obtain optimal results. | |
| Sample-dependent, Check data in validation data gallery. | |
Published Applications
| WB | See 1 publications below |
Product Information
13940-1-AP targets GABA B receptor 1 in WB, IHC, ELISA applications and shows reactivity with human, mouse, rat samples.
| Tested Reactivity | human, mouse, rat |
| Cited Reactivity | human |
| Host / Isotype | Rabbit / IgG |
| Class | Polyclonal |
| Type | Antibody |
| Immunogen |
CatNo: Ag4838 Product name: Recombinant human GABBR1 protein Source: e coli.-derived, PGEX-4T Tag: GST Domain: 101-471 aa of BC041332 Sequence: SKCDPGQATKYLYELLYNDPIKIILMPGCSSVSTLVAEAARMWNLIVLSYGSSSPALSNRQRFPTFFRTHPSATLHNPTRVKLFEKWGWKKIATIQQTTEVFTSTLDDLEERVKEAGIEITFRQSFFSDPAVPVKNLKRQDARIIVGLFYETEARKVFCEVYKERLFGKKYVWFLIGWYADNWFKIYDPSINCTVDEMTEAVEGHITTEIVMLNPANTRSISNMTSQEFVEKLTKRLKRHPEETGGFQEAPLAYDAIWALALALNKTSGGGGRSGVRLEDFNYNNQTITDQIYRAMNSSSFEGVSGHVVFDASGSRMAWTLIEQLQGGSYKKIGYYDSTKDDLSWSKTDKWIGGSPPADQTLVIKTFRFLS 相同性解析による交差性が予測される生物種 |
| Full Name | gamma-aminobutyric acid (GABA) B receptor, 1 |
| Calculated molecular weight | 961 aa, 108 kDa |
| Observed molecular weight | 105-130 kDa |
| GenBank accession number | BC041332 |
| Gene Symbol | GABBR1 |
| Gene ID (NCBI) | 2550 |
| Conjugate | Unconjugated |
| Form | |
| Form | Liquid |
| Purification Method | Antigen affinity purification |
| UNIPROT ID | Q9UBS5 |
| Storage Buffer | PBS with 0.02% sodium azide and 50% glycerol{{ptg:BufferTemp}}7.3 |
| Storage Conditions | Store at -20°C. Stable for one year after shipment. Aliquoting is unnecessary for -20oC storage. |
Background Information
GABA B receptor 1 (GABBR1) is an essential protein subunit that forms the functional GABA B receptor, a metabotropic receptor for the primary inhibitory neurotransmitter in the central nervous system, gamma-aminobutyric acid (GABA). Unlike the fast-acting ionotropic GABA A receptors, GABA B receptors mediate slow, prolonged inhibitory signaling through G-proteins. Two bands with the apparent molecular weights of 130 and 105 kDa were corresponding to GABAB1a and GABAB1b proteins, were identified in the brain extract and membrane extract of wild-type mice (PMID: 12970075).
Protocols
| Product Specific Protocols | |
|---|---|
| IHC protocol for GABA B receptor 1 antibody 13940-1-AP | Download protocol |
| WB protocol for GABA B receptor 1 antibody 13940-1-AP | Download protocol |
| Standard Protocols | |
|---|---|
| Click here to view our Standard Protocols |


