Validation Data Gallery
Tested Applications
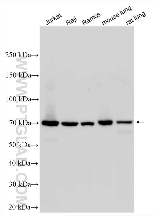
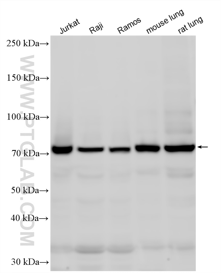
| Positive WB detected in | Jurkat cells, HEK-293 cells, L02 cells, mouse kidney tissue, Raji cells, Ramos cells, mouse lung tissue, rat lung tissue |
| Positive IP detected in | mouse kidney tissue |
| Positive IHC detected in | human liver tissue, human kidney tissue Note: suggested antigen retrieval with TE buffer pH 9.0; (*) Alternatively, antigen retrieval may be performed with citrate buffer pH 6.0 |
Recommended dilution
| Application | Dilution |
|---|---|
| Western Blot (WB) | WB : 1:5000-1:50000 |
| Immunoprecipitation (IP) | IP : 0.5-4.0 ug for 1.0-3.0 mg of total protein lysate |
| Immunohistochemistry (IHC) | IHC : 1:500-1:2000 |
| It is recommended that this reagent should be titrated in each testing system to obtain optimal results. | |
| Sample-dependent, Check data in validation data gallery. | |
Published Applications
| KD/KO | See 3 publications below |
| WB | See 148 publications below |
| IHC | See 9 publications below |
| IF | See 5 publications below |
| IP | See 1 publications below |
Product Information
12601-1-AP targets GCLC in WB, IHC, IF, IP, ELISA applications and shows reactivity with human, mouse, rat samples.
| Tested Reactivity | human, mouse, rat |
| Cited Reactivity | human, mouse, rat, goat |
| Host / Isotype | Rabbit / IgG |
| Class | Polyclonal |
| Type | Antibody |
| Immunogen |
CatNo: Ag3252 Product name: Recombinant human GCLC protein Source: e coli.-derived, PGEX-4T Tag: GST Domain: 1-252 aa of BC022487 Sequence: MGLLSQGSPLSWEETKRHADHVRRHGILQFLHIYHAVKDRHKDVLKWGDEVEYMLVSFDHENKKVRLVLSGEKVLETLQEKGERTNPNHPTLWRPEYGSYMIEGTPGQPYGGTMSEFNTVEANMRKRRKEATSILEENQALCTITSFPRLGCPGFTLPEVKPNPVEGGASKSLFFPDEAINKHPRFSTLTRNIRHRRGEKVVINVPIFKDKNTPSPFIETFTEDDEASRASKPDHIYMDAMGFGMGNCCLQV 相同性解析による交差性が予測される生物種 |
| Full Name | glutamate-cysteine ligase, catalytic subunit |
| Calculated molecular weight | 637 aa, 73 kDa |
| Observed molecular weight | 73 kDa |
| GenBank accession number | BC022487 |
| Gene Symbol | GCLC |
| Gene ID (NCBI) | 2729 |
| RRID | AB_2278734 |
| Conjugate | Unconjugated |
| Form | |
| Form | Liquid |
| Purification Method | Antigen affinity purification |
| UNIPROT ID | P48506 |
| Storage Buffer | PBS with 0.02% sodium azide and 50% glycerol{{ptg:BufferTemp}}7.3 |
| Storage Conditions | Store at -20°C. Stable for one year after shipment. Aliquoting is unnecessary for -20oC storage. |
Background Information
GCLC (Glutamate--cysteine ligase catalytic subunit) belongs to the glutamate--cysteine ligase type 3 family.It is also named as GLCL, GLCLC.It is the first rate-limiting enzyme in glutathione (GSH) biosynthesis.GCLC) gene may be associated with coronary endothelial vasomotor dysfunction and myocardial infarction (MI) (PMID:12598062). Defects in GCLC are the cause of hemolytic anemia (HAGGSD).
Protocols
| Product Specific Protocols | |
|---|---|
| IHC protocol for GCLC antibody 12601-1-AP | Download protocol |
| IP protocol for GCLC antibody 12601-1-AP | Download protocol |
| WB protocol for GCLC antibody 12601-1-AP | Download protocol |
| Standard Protocols | |
|---|---|
| Click here to view our Standard Protocols |
Publications
| Species | Application | Title |
|---|---|---|
Nature SLC25A39 is necessary for mitochondrial glutathione import in mammalian cells.
| ||
Nat Cell Biol AIDA directly connects sympathetic innervation to adaptive thermogenesis by UCP1. | ||
ACS Cent Sci Macrophage Inactivation by Small Molecule Wedelolactone via Targeting sEH for the Treatment of LPS-Induced Acute Lung Injury | ||
Cell Metab Mitochondrial DNA Replication Defects Disturb Cellular dNTP Pools and Remodel One-Carbon Metabolism. | ||
Hepatology Liver-specific deficiency of unc-51 like kinase 1 and 2 protects mice from acetaminophen-induced liver injury. |









