Validation Data Gallery
Tested Applications
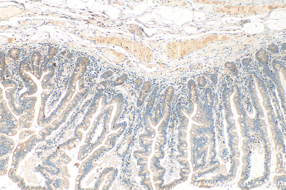
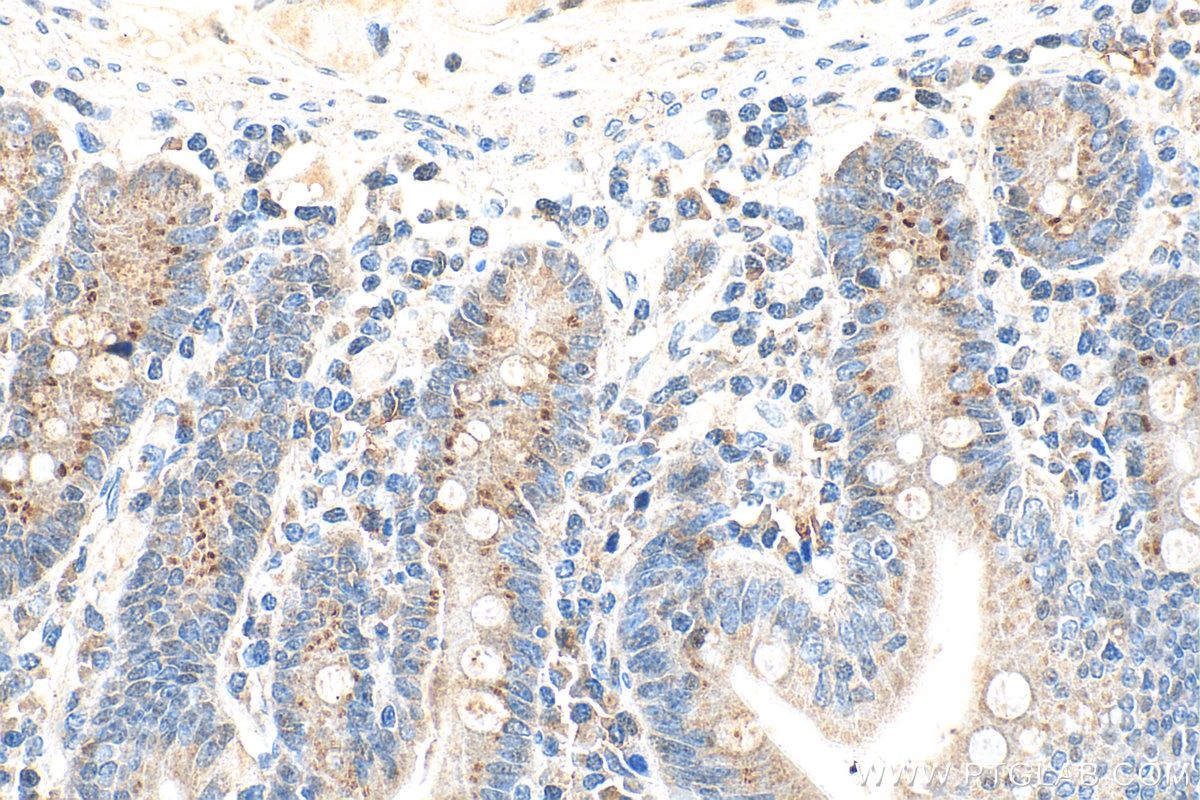
| Positive IHC detected in | human thymus tissue, human small intestine tissue Note: suggested antigen retrieval with TE buffer pH 9.0; (*) Alternatively, antigen retrieval may be performed with citrate buffer pH 6.0 |
Recommended dilution
| Application | Dilution |
|---|---|
| Immunohistochemistry (IHC) | IHC : 1:50-1:500 |
| It is recommended that this reagent should be titrated in each testing system to obtain optimal results. | |
| Sample-dependent, Check data in validation data gallery. | |
Published Applications
| IF | See 1 publications below |
Product Information
25285-1-AP targets CCL25/TECK in IHC, IF, ELISA applications and shows reactivity with human samples.
| Tested Reactivity | human |
| Cited Reactivity | human |
| Host / Isotype | Rabbit / IgG |
| Class | Polyclonal |
| Type | Antibody |
| Immunogen |
CatNo: Ag17994 Product name: Recombinant human CCL25 protein Source: e coli.-derived, PGEX-4T Tag: GST Domain: 24-150 aa of BC130561 Sequence: QGVFEDCCLAYHYPIGWAVLRRAWTYRIQEVSGSCNLPAAIFYLPKRHRKVCGNPKSREVQRAMKLLDARNKVFAKLHHNTQTFQAGPHAVKKLSSGNSKLSSSKFSNPISSSKRNVSLLISANSGL 相同性解析による交差性が予測される生物種 |
| Full Name | chemokine (C-C motif) ligand 25 |
| Calculated molecular weight | 150 aa, 17 kDa |
| GenBank accession number | BC130561 |
| Gene Symbol | CCL25/TECK |
| Gene ID (NCBI) | 6370 |
| RRID | AB_2880008 |
| Conjugate | Unconjugated |
| Form | |
| Form | Liquid |
| Purification Method | Antigen affinity purification |
| UNIPROT ID | O15444 |
| Storage Buffer | PBS with 0.02% sodium azide and 50% glycerol{{ptg:BufferTemp}}7.3 |
| Storage Conditions | Store at -20°C. Stable for one year after shipment. Aliquoting is unnecessary for -20oC storage. |
Background Information
CCL25, also known as Thymus-Expressed Chemokine (TECK), is a small chemokine belonging to the CC subfamily, first isolated from mouse thymus in 1997. Its official full name is "C-C motif chemokine ligand 25". CCL25 is mainly expressed in the thymus and small-intestinal epithelium, and to a lesser extent by vascular endothelial cells and other parenchymal tissues. It selectively attracts dendritic cells, thymocytes, and activated macrophages via binding to its high-affinity G-protein-coupled receptor CCR9, while showing no chemotactic activity on peripheral blood lymphocytes or neutrophils. Through this CCR9-CCL25 axis it orchestrates T-cell development in the thymus and guides CCR9⁺ lymphocytes-especially IgA-producing plasma cells and intra-epithelial lymphocytes-to the small intestine, thus participating in mucosal immunity and gut homeostasis.
Protocols
| Product Specific Protocols | |
|---|---|
| IHC protocol for CCL25/TECK antibody 25285-1-AP | Download protocol |
| Standard Protocols | |
|---|---|
| Click here to view our Standard Protocols |



