Validation Data Gallery
Tested Applications
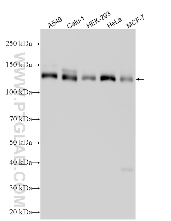
| Positive WB detected in | A549 cells, HEK-293 cells, HeLa cells, human spleen tissue, MCF-7 cells, Calu-1 cells |
| Positive IHC detected in | human testis tissue Note: suggested antigen retrieval with TE buffer pH 9.0; (*) Alternatively, antigen retrieval may be performed with citrate buffer pH 6.0 |
| Positive IF/ICC detected in | HepG2 cells, MDCK cells, HEK-293 cells, HeLa cells |
| Positive FC (Intra) detected in | HepG2 cells |
Recommended dilution
| Application | Dilution |
|---|---|
| Western Blot (WB) | WB : 1:20000-1:100000 |
| Immunohistochemistry (IHC) | IHC : 1:50-1:500 |
| Immunofluorescence (IF)/ICC | IF/ICC : 1:200-1:800 |
| Flow Cytometry (FC) (INTRA) | FC (INTRA) : 0.20 ug per 10^6 cells in a 100 µl suspension |
| It is recommended that this reagent should be titrated in each testing system to obtain optimal results. | |
| Sample-dependent, Check data in validation data gallery. | |
Published Applications
| WB | See 86 publications below |
| IHC | See 3 publications below |
| IF | See 89 publications below |
| IP | See 1 publications below |
Product Information
11308-1-AP targets GOLGA2/GM130 in WB, IHC, IF/ICC, FC (Intra), IP, ELISA applications and shows reactivity with human, canine samples.
| Tested Reactivity | human, canine |
| Cited Reactivity | human, monkey, zebrafish, hamster, sheep |
| Host / Isotype | Rabbit / IgG |
| Class | Polyclonal |
| Type | Antibody |
| Immunogen |
CatNo: Ag1848 Product name: Recombinant human GM130;GOLGA2 protein Source: e coli.-derived, PGEX-4T Tag: GST Domain: 361-678 aa of BC014188 Sequence: LRAQLSLMAHPGEGDGLDREEEEDEEEEEEEAVAVPQPMPSIPEDLESREAMVAFFNSAVASAEEEQARLRGQLKEQRVRCRRLAHLLASAQKEPEAAAPAPGTGGDSVCGETHRALQGAMEKLQSRFMELMQEKADLKERVEELEHRCIQLSGETDTIGEYIALYQSQRAVLKERHREKEEYISRLAQDKEEMKVKLLELQELVLRLVGDRNEWHGRFLAAAQNPADEPTSGAPAPQELGAANQQGDLCEVSLAGSVEPAQGEAREGSPRDNPTAQQIMQLLREMQNPRERPGLGSNPCIPFFYRADENDEVKITVI 相同性解析による交差性が予測される生物種 |
| Full Name | golgi autoantigen, golgin subfamily a, 2 |
| Calculated molecular weight | 111 kDa |
| Observed molecular weight | 130 kDa |
| GenBank accession number | BC014188 |
| Gene Symbol | GM130 |
| Gene ID (NCBI) | 2801 |
| RRID | AB_2115327 |
| Conjugate | Unconjugated |
| Form | |
| Form | Liquid |
| Purification Method | Antigen affinity purification |
| UNIPROT ID | Q08379 |
| Storage Buffer | PBS with 0.02% sodium azide and 50% glycerol{{ptg:BufferTemp}}7.3 |
| Storage Conditions | Store at -20°C. Stable for one year after shipment. Aliquoting is unnecessary for -20oC storage. |
Background Information
GOLGA2, also known as GM130, is a 130 kDa cis-Golgi matrix protein which is one component of the detergent and salt resistant Golgi matrix. It is a peripheral membrane protein highly bound to Golgi membrane and localized mainly at the cytoplasmic face of cis-Golgi membrane. Together with its interacting partner proteins, including p115, giantin, GRASP65, and Rab GTPase, GOLGA2/GM130 is involved in the regulation of ER-to-Golgi transport and also in the maintenance of the Golgi structure. Emerging evidence suggest that the GOLGA2/GM130 has potential roles in the control of glycosylation, cell cycle progression, and higher order cell functions such as cell polarization and directed cell migration. (PMID: 20197635)
Protocols
| Product Specific Protocols | |
|---|---|
| FC protocol for GOLGA2/GM130 antibody 11308-1-AP | Download protocol |
| IF protocol for GOLGA2/GM130 antibody 11308-1-AP | Download protocol |
| IHC protocol for GOLGA2/GM130 antibody 11308-1-AP | Download protocol |
| WB protocol for GOLGA2/GM130 antibody 11308-1-AP | Download protocol |
| Standard Protocols | |
|---|---|
| Click here to view our Standard Protocols |
Publications
| Species | Application | Title |
|---|---|---|
Immunity The nucleotide receptor STING translocates to the phagosomes to negatively regulate anti-fungal immunity | ||
Nat Methods Visualizing the native cellular organization by coupling cryofixation with expansion microscopy (Cryo-ExM). | ||
Adv Mater Supramolecular Hydrogel with Ultra-Rapid Cell-Mediated Network Adaptation for Enhancing Cellular Metabolic Energetics and Tissue Regeneration | ||
Cell Metab TMEM41B acts as an ER scramblase required for lipoprotein biogenesis and lipid homeostasis. |















