Validation Data Gallery
Tested Applications
| Positive WB detected in | mouse liver tissue, rat liver tissue |
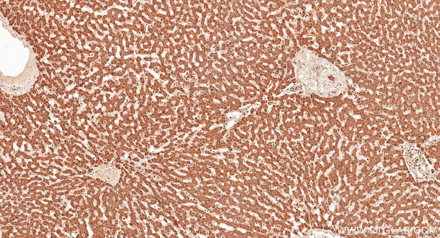
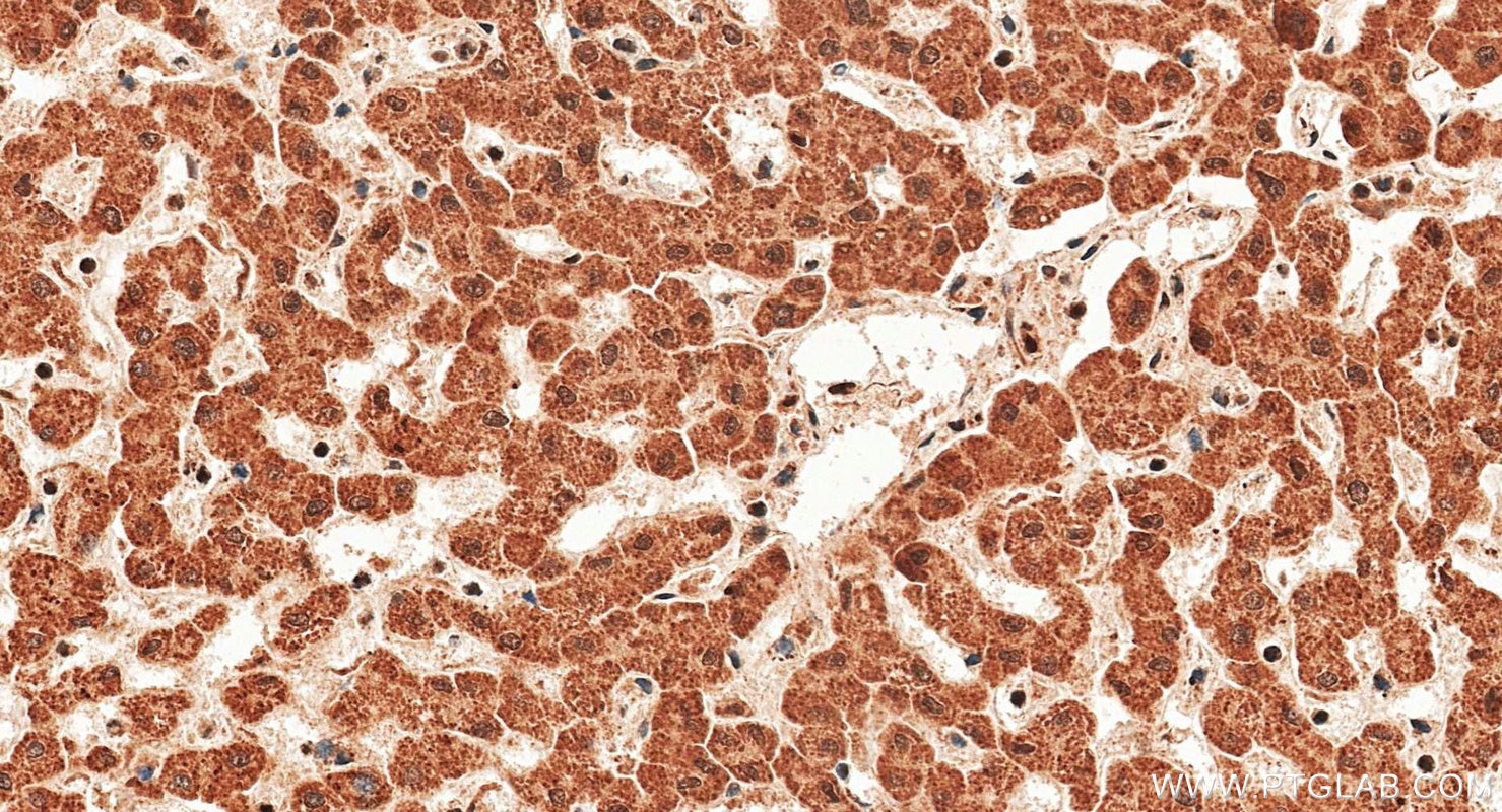
| Positive IHC detected in | human liver tissue Note: suggested antigen retrieval with TE buffer pH 9.0; (*) Alternatively, antigen retrieval may be performed with citrate buffer pH 6.0 |
| Positive IF/ICC detected in | HepG2 cells |
| Positive FC (Intra) detected in | HepG2 cells |
Recommended dilution
| Application | Dilution |
|---|---|
| Western Blot (WB) | WB : 1:2000-1:10000 |
| Immunohistochemistry (IHC) | IHC : 1:250-1:1000 |
| Immunofluorescence (IF)/ICC | IF/ICC : 1:50-1:500 |
| Flow Cytometry (FC) (INTRA) | FC (INTRA) : 0.40 ug per 10^6 cells in a 100 µl suspension |
| It is recommended that this reagent should be titrated in each testing system to obtain optimal results. | |
| Sample-dependent, Check data in validation data gallery. | |
Published Applications
| KD/KO | See 1 publications below |
| WB | See 753 publications below |
| IHC | See 1 publications below |
| IF | See 325 publications below |
| IP | See 1 publications below |
| ELISA | See 2 publications below |
Product Information
18985-1-AP targets iNOS in WB, IF/ICC, FC (Intra), IP, ELISA applications and shows reactivity with human, mouse, rat samples.
| Tested Reactivity | human, mouse, rat |
| Cited Reactivity | human, mouse, rat, pig, rabbit, chicken, bovine, goat |
| Host / Isotype | Rabbit / IgG |
| Class | Polyclonal |
| Type | Antibody |
| Immunogen |
Peptide 相同性解析による交差性が予測される生物種 |
| Full Name | nitric oxide synthase 2, inducible |
| Calculated molecular weight | 131 kDa |
| Observed molecular weight | 110-130 kDa, 65-70 kDa |
| GenBank accession number | NM_000625 |
| Gene Symbol | iNOS |
| Gene ID (NCBI) | 4843 |
| RRID | AB_2782960 |
| Conjugate | Unconjugated |
| Form | |
| Form | Liquid |
| Purification Method | Antigen affinity purification |
| UNIPROT ID | P35228 |
| Storage Buffer | PBS with 0.02% sodium azide and 50% glycerol{{ptg:BufferTemp}}7.3 |
| Storage Conditions | Store at -20°C. Stable for one year after shipment. Aliquoting is unnecessary for -20oC storage. |
Background Information
NOS2, also named as iNOS and NOS2A, produces nitric oxide (NO) which is a messenger molecule with diverse functions throughout the body. NO is a reactive free radical which acts as a biologic mediator in several processes, including neurotransmission, antimicrobial and antitumoral activities. NOS2 is a nitric oxide synthase which is expressed in liver and is inducible by a combination of lipopolysaccharide and certain cytokines. iNOS has a very short half-life due to rapid degradation by calpain. iNOS monomer is a direct substrate of calpain I and can be cleaved by calpain I at the canonical CaM-binding site(503-532aa) of iNOS, and then a ~70 kDa band can be detected by western (PMID:11786228). This antibody is specific to NOS2.
Protocols
| Product Specific Protocols | |
|---|---|
| FC protocol for iNOS antibody 18985-1-AP | Download protocol |
| IF protocol for iNOS antibody 18985-1-AP | Download protocol |
| IHC protocol for iNOS antibody 18985-1-AP | Download protocol |
| WB protocol for iNOS antibody 18985-1-AP | Download protocol |
| Standard Protocols | |
|---|---|
| Click here to view our Standard Protocols |
Publications
| Species | Application | Title |
|---|---|---|
Adv Mater Biomimetic Immunosuppressive Exosomes that Inhibit Cytokine Storms Contribute to the Alleviation of Sepsis. | ||
Bioact Mater Reprogramming macrophages via immune cell mobilized hydrogel microspheres for osteoarthritis treatments | ||
Adv Sci (Weinh) 3D Printing of a Vascularized Mini-Liver Based on the Size-Dependent Functional Enhancements of Cell Spheroids for Rescue of Liver Failure | ||
Adv Sci (Weinh) Reprogramming Lung Redox Homeostasis by NIR Driven Ultra-Small Pd Loaded Covalent Organic Framework Inhibits NF-κB Pathway for Acute Lung Injury Immunotherapy | ||
J Extracell Vesicles Extracellular vesicle-mediated delivery of circDYM alleviates CUS-induced depressive-like behaviours. | ||
Adv Sci (Weinh) Elevated Histone Lactylation Mediates Ferroptosis Resistance in Endometriosis Through the METTL3-Regulated HIF1A/HMOX1 Signaling Pathway |






