Validation Data Gallery
Tested Applications
| Positive WB detected in | Y79 cells, mouse retina tissue, rat retina tissue | 
| Positive IP detected in | Y79 cells | 
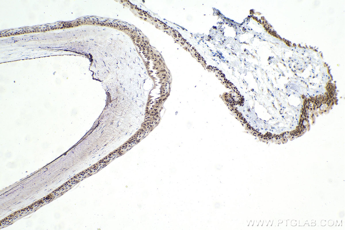
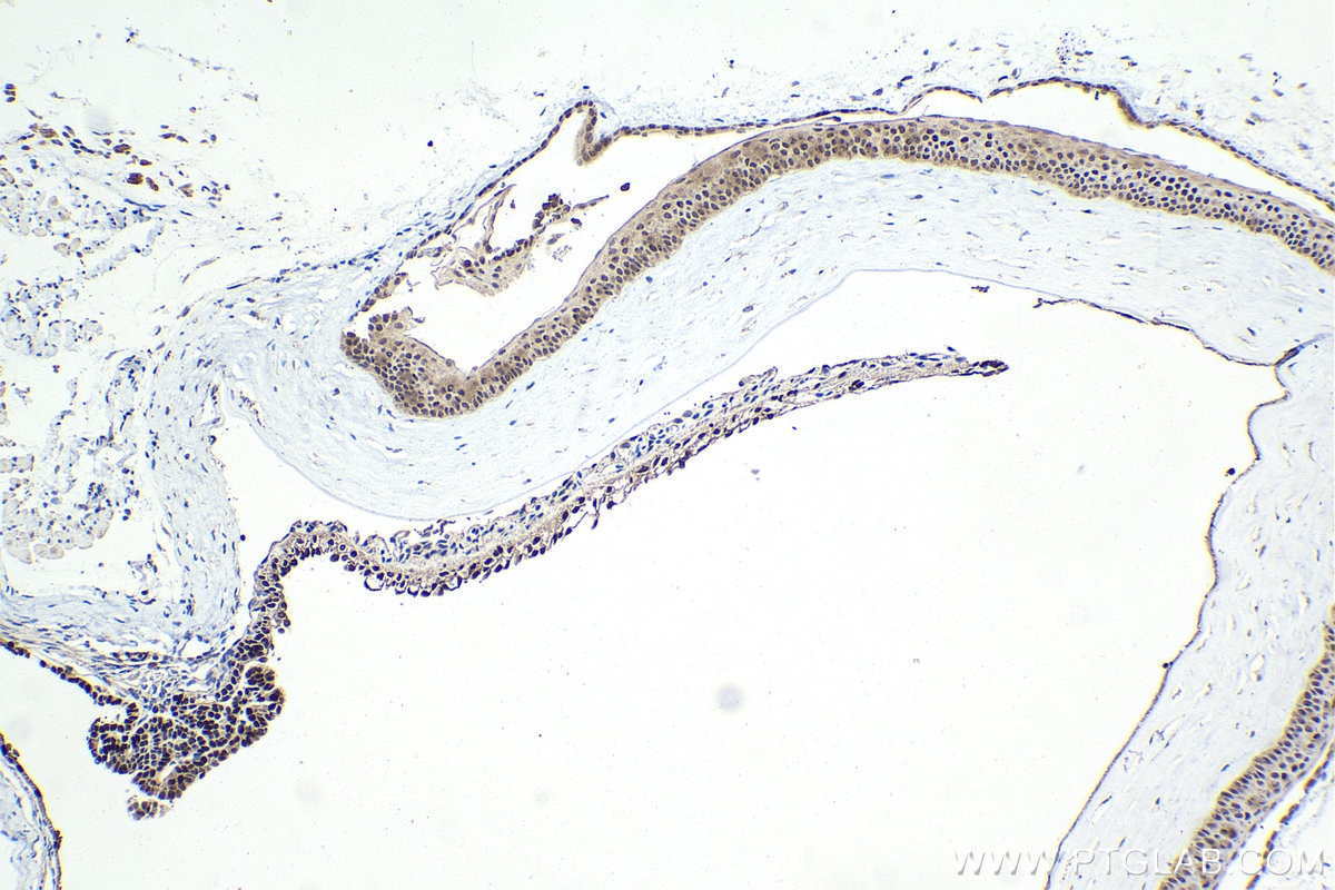
| Positive IHC detected in | mouse eye tissue, rat eye tissue Note: suggested antigen retrieval with TE buffer pH 9.0; (*) Alternatively, antigen retrieval may be performed with citrate buffer pH 6.0 | 
| Positive FC (Intra) detected in | HepG2 cells | 
Recommended dilution
| Application | Dilution | 
|---|---|
| Western Blot (WB) | WB : 1:2000-1:16000 | 
| Immunoprecipitation (IP) | IP : 0.5-4.0 ug for 1.0-3.0 mg of total protein lysate | 
| Immunohistochemistry (IHC) | IHC : 1:1000-1:4000 | 
| Flow Cytometry (FC) (INTRA) | FC (INTRA) : 0.40 ug per 10^6 cells in a 100 µl suspension | 
| It is recommended that this reagent should be titrated in each testing system to obtain optimal results. | |
| Sample-dependent, Check data in validation data gallery. | |
Published Applications
| KD/KO | See 3 publications below | 
| WB | See 14 publications below | 
| IHC | See 8 publications below | 
| IP | See 1 publications below | 
| CoIP | See 1 publications below | 
| ChIP | See 7 publications below | 
Product Information
13497-1-AP targets OTX2 in WB, IHC, FC (Intra), IP, CoIP, ChIP, ELISA applications and shows reactivity with human, mouse, rat samples.
| Tested Reactivity | human, mouse, rat | 
| Cited Reactivity | human, mouse, chicken | 
| Host / Isotype | Rabbit / IgG | 
| Class | Polyclonal | 
| Type | Antibody | 
| Immunogen | CatNo: Ag4323 Product name: Recombinant human OTX2 protein Source: e coli.-derived, PGEX-4T Tag: GST Domain: 1-297 aa of BC032579 Sequence: MMSYLKQPPYAVNGLSLTTSGMDLLHPSVGYPGPWASCPAATPRKQRRERTTFTRAQLDVLEALFAKTRYPDIFMREEVALKINLPESRVQVWFKNRRAKCRQQQQQQQNGGQNKVRPAKKKTSPAREVSSESGTSGQFTPPSSTSVPTIASSSAPVSIWSPASISPLSDPLSTSSSCMQRSYPMTYTQASGYSQGYAGSTSYFGGMDCGSYLTPMHHQLPGPGATLSPMGTNAVTSHLNQSPASLSTQGYGASSLGFNSTTDCLDYKDQTASWKLNFNADCLDYKDQTSSWKFQVL相同性解析による交差性が予測される生物種 | 
| Full Name | orthodenticle homeobox 2 | 
| Calculated molecular weight | 297 aa, 32 kDa | 
| Observed molecular weight | 31-35 kDa | 
| GenBank accession number | BC032579 | 
| Gene Symbol | OTX2 | 
| Gene ID (NCBI) | 5015 | 
| RRID | AB_2157176 | 
| Conjugate | Unconjugated | 
| Form | |
| Form | Liquid | 
| Purification Method | Antigen affinity purification | 
| UNIPROT ID | P32243 | 
| Storage Buffer | PBS with 0.02% sodium azide and 50% glycerol{{ptg:BufferTemp}}7.3 | 
| Storage Conditions | Store at -20°C. Stable for one year after shipment. Aliquoting is unnecessary for -20oC storage. | 
Background Information
The orthodenticle homeobox 2, encoded by OTX2 gene, is a key transcription factor in developmental processes. In particular, it is required for the early specification of the brain and the embryonic development of sensory organs, including the, pineal gland, pituitary gland, inner part of the ear, eyes, and optic nerve. In later stages, it is important for maintaining intact retina and brain function. In addition, it acts as a transcriptional repressor and a gatekeeper of myogenic and neuronal differentiation in medulloblastoma cells. OTX2 binds to the MyoD1 core enhancer through its homeobox domain and the remarkable repressor activity exhibited by the homeobox domain renders OTX2 transcriptionally repressive
Protocols
| Product Specific Protocols | |
|---|---|
| FC protocol for OTX2 antibody 13497-1-AP | Download protocol | 
| IHC protocol for OTX2 antibody 13497-1-AP | Download protocol | 
| IP protocol for OTX2 antibody 13497-1-AP | Download protocol | 
| WB protocol for OTX2 antibody 13497-1-AP | Download protocol | 
| Standard Protocols | |
|---|---|
| Click here to view our Standard Protocols | 
Publications
| Species | Application | Title | 
|---|---|---|
| Signal Transduct Target Ther MDIG-mediated H3K9me3 demethylation upregulates Myc by activating OTX2 and facilitates liver regeneration
 | ||
| Science Early life stress confers lifelong stress susceptibility in mice via ventral tegmental area OTX2. | ||
| Cancer Cell Atypical Teratoid/Rhabdoid Tumors Are Comprised of Three Epigenetic Subgroups with Distinct Enhancer Landscapes. | ||
| Cell Rep ESCRT-I protein UBAP1 controls ventricular expansion and cortical neurogenesis via modulating adherens junctions of radial glial cells | 






