Validation Data Gallery
Tested Applications
| Positive WB detected in | mouse brain tissue, rat brain tissue, mouse cerebellum tissue, rat cerebellum tissue |
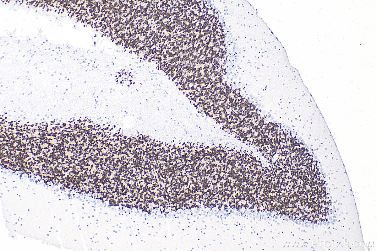
| Positive IHC detected in | mouse cerebellum tissue, rat cerebellum tissue Note: suggested antigen retrieval with TE buffer pH 9.0; (*) Alternatively, antigen retrieval may be performed with citrate buffer pH 6.0 |
| Positive IF-P detected in | rat brain tissue, rat cerebellum tissue, mouse cerebellum tissue |
| Positive IF-Fro detected in | mouse brain tissue |
| Positive FC (Intra) detected in | U-87 MG cells |
Recommended dilution
| Application | Dilution |
|---|---|
| Western Blot (WB) | WB : 1:20000-1:100000 |
| Immunohistochemistry (IHC) | IHC : 1:3000-1:12000 |
| Immunofluorescence (IF)-P | IF-P : 1:200-1:800 |
| Immunofluorescence (IF)-FRO | IF-FRO : 1:50-1:500 |
| Flow Cytometry (FC) (INTRA) | FC (INTRA) : 0.20 ug per 10^6 cells in a 100 µl suspension |
| It is recommended that this reagent should be titrated in each testing system to obtain optimal results. | |
| Sample-dependent, Check data in validation data gallery. | |
Published Applications
| WB | See 57 publications below |
| IHC | See 56 publications below |
| IF | See 330 publications below |
Product Information
26975-1-AP targets NeuN in WB, IHC, IF-P, IF-Fro, FC (Intra), Dot blot, ELISA applications and shows reactivity with human, mouse, rat, pig samples.
| Tested Reactivity | human, mouse, rat, pig |
| Cited Reactivity | human, mouse, rat, pig, monkey, zebrafish |
| Host / Isotype | Rabbit / IgG |
| Class | Polyclonal |
| Type | Antibody |
| Immunogen |
CatNo: Ag25689 Product name: Recombinant human NeuN protein Source: e coli.-derived, PGEX-4T Tag: GST Domain: 1-100 aa of NM_001082575 Sequence: MAQPYPPAQYPPPPQNGIPAEYAPPPPHPTQDYSGQTPVPTEHGMTLYTPAQTHPEQPGSEASTQPIAGTQTVPQTDEAAQTDSQPLHPSDPTEKQQPKR 相同性解析による交差性が予測される生物種 |
| Full Name | hexaribonucleotide binding protein 3 |
| Observed molecular weight | 46-52 kDa |
| GenBank accession number | NM_001082575 |
| Gene Symbol | NeuN |
| Gene ID (NCBI) | 146713 |
| RRID | AB_2880708 |
| Conjugate | Unconjugated |
| Form | |
| Form | Liquid |
| Purification Method | Antigen affinity purification |
| UNIPROT ID | A6NFN3 |
| Storage Buffer | PBS with 0.02% sodium azide and 50% glycerol{{ptg:BufferTemp}}7.3 |
| Storage Conditions | Store at -20°C. Stable for one year after shipment. Aliquoting is unnecessary for -20oC storage. |
Background Information
Function
NeuN, also known as FOX3 or RBFOX3, belongs to a family of tissue-specific splicing regulators and is involved in neural circuitry balance, as well as neurogenesis and synaptogenesis (PMID: 26619789).
Tissue specificity
NeuN is exclusively present in post-mitotic neurons and is absent from neural progenitors, oligodendrocytes, astrocytes, and glia (PMID: 1483388).
Involvement in disease
· NeuN cytoplasmic localization is increased in the neurons of patients with HIV-associated neurocognitive disorders (PMID: 24215932).
Isoforms
There are 4 isoforms of NeuN, migrating in the 45-50 kDa range (PMID: 21747913).
Post-translational modifications
Currently not known.
Cellular localization
NeuN predominantly localizes to the nucleus but can also be present in the cytoplasm. Isoforms of NeuN differ in their cytoplasmic/nucleus localization (PMID: 21747913).
Protocols
| Product Specific Protocols | |
|---|---|
| IF protocol for NeuN antibody 26975-1-AP | Download protocol |
| IHC protocol for NeuN antibody 26975-1-AP | Download protocol |
| WB protocol for NeuN antibody 26975-1-AP | Download protocol |
| Standard Protocols | |
|---|---|
| Click here to view our Standard Protocols |
Publications
| Species | Application | Title |
|---|---|---|
Immunity Fate mapping of Spp1 expression reveals age-dependent plasticity of disease-associated microglia-like cells after brain injury | ||
Adv Sci (Weinh) GPR37 Activation Alleviates Bone Cancer Pain via the Inhibition of Osteoclastogenesis and Neuronal Hyperexcitability | ||
Brain Behav Immun Egln3 expression in microglia enhances the neuroinflammatory responses in Alzheimer's disease | ||
Neuron Astrocytic ApoE reprograms neuronal cholesterol metabolism and histone-acetylation-mediated memory. | ||
Sci Adv CGG repeat RNA G-quadruplexes interact with FMRpolyG to cause neuronal dysfunction in fragile X-related tremor/ataxia syndrome. | ||
Cell Death Differ Redox regulation of TRIM28 facilitates neuronal ferroptosis by promoting SUMOylation and inhibiting OPTN-selective autophagic degradation of ACSL4 |














