Validation Data Gallery
Tested Applications
| Positive WB detected in | HeLa cells, HepG2 cells, mouse testis tissue, rat testis tissue |
| Positive IP detected in | rat testis tissue |
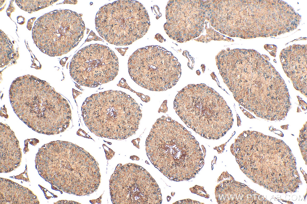
| Positive IHC detected in | mouse testis tissue, human skeletal muscle tissue Note: suggested antigen retrieval with TE buffer pH 9.0; (*) Alternatively, antigen retrieval may be performed with citrate buffer pH 6.0 |
| Positive IF-P detected in | mouse testis tissue |
| Positive IF/ICC detected in | C2C12 cells |
Recommended dilution
| Application | Dilution |
|---|---|
| Western Blot (WB) | WB : 1:1000-1:6000 |
| Immunoprecipitation (IP) | IP : 0.5-4.0 ug for 1.0-3.0 mg of total protein lysate |
| Immunohistochemistry (IHC) | IHC : 1:200-1:800 |
| Immunofluorescence (IF)-P | IF-P : 1:200-1:800 |
| Immunofluorescence (IF)/ICC | IF/ICC : 1:400-1:1600 |
| It is recommended that this reagent should be titrated in each testing system to obtain optimal results. | |
| Sample-dependent, Check data in validation data gallery. | |
Published Applications
| KD/KO | See 3 publications below |
| WB | See 26 publications below |
| IHC | See 4 publications below |
| IF | See 65 publications below |
| IP | See 1 publications below |
| CoIP | See 1 publications below |
Product Information
17460-1-AP targets IFT140 in WB, IHC, IF/ICC, IF-P, IP, CoIP, ELISA applications and shows reactivity with human, mouse, rat samples.
| Tested Reactivity | human, mouse, rat |
| Cited Reactivity | human, mouse, canine, zebrafish |
| Host / Isotype | Rabbit / IgG |
| Class | Polyclonal |
| Type | Antibody |
| Immunogen |
CatNo: Ag11119 Product name: Recombinant human IFT140 protein Source: e coli.-derived, PET28a Tag: 6*His Domain: 1114-1462 aa of BC035577 Sequence: AEDLDETSDPALLARCSDFFIEHSQYERAVELLLAARKYQEALQLCLGQNMSITEEMAEKMTVAKDSSDLPEESRRELLEQIADCCMRQGSYHLATKKYTQAGNKLKAMRALLKSGDTEKITFFASVSRQKEIYIMAANYLQSLDWRKEPEIMKNIIGFYTKGRALDLLAGFYDACAQVEIDEYQNYDKAHGALTEAYKCLAKAKAKSPLDQETRLAQLQSRMALVKRFIQARRTYTEDPKESIKQCELLLEEPDLDSTIRIGDVYGFLVEHYVRKEEYQTAYRFLEEMRRRLPLANMSYYVSPQAVDAVHRGLGLPLPRTVPEQVRHNSMEDARELDEEVVEEADDDP 相同性解析による交差性が予測される生物種 |
| Full Name | intraflagellar transport 140 homolog (Chlamydomonas) |
| Calculated molecular weight | 1462 aa, 165 kDa |
| Observed molecular weight | 150-165 kDa |
| GenBank accession number | BC035577 |
| Gene Symbol | IFT140 |
| Gene ID (NCBI) | 9742 |
| RRID | AB_2295648 |
| Conjugate | Unconjugated |
| Form | |
| Form | Liquid |
| Purification Method | Antigen affinity purification |
| UNIPROT ID | Q96RY7 |
| Storage Buffer | PBS with 0.02% sodium azide and 50% glycerol{{ptg:BufferTemp}}7.3 |
| Storage Conditions | Store at -20°C. Stable for one year after shipment. Aliquoting is unnecessary for -20oC storage. |
Background Information
IFT140 is a subunit of intraflagellar transport complex A (IFT-A) which is involved in retrograde ciliary transport. RT-PCR analysis showed it is highly expressed in kidney, moderately in ovary, testis, prostate, and lung. IFT140 is localised to the base and tip of primary cilium. IFT140 has a pivotal role in development and function of ciliated cells, and mutations of IFT140 cause skeletal, renal, and retinal ciliopathies. It had been detected as a single band around 140-165 kDa in different reports. (PMID: 20368623, 22282595)
Protocols
| Product Specific Protocols | |
|---|---|
| IF protocol for IFT140 antibody 17460-1-AP | Download protocol |
| IHC protocol for IFT140 antibody 17460-1-AP | Download protocol |
| IP protocol for IFT140 antibody 17460-1-AP | Download protocol |
| WB protocol for IFT140 antibody 17460-1-AP | Download protocol |
| Standard Protocols | |
|---|---|
| Click here to view our Standard Protocols |
Publications
| Species | Application | Title |
|---|---|---|
Nat Genet Mutations in PLK4, encoding a master regulator of centriole biogenesis, cause microcephaly, growth failure and retinopathy. | ||
Cell Dynamic Remodeling of Membrane Composition Drives Cell Cycle through Primary Cilia Excision. | ||
Hepatology Biallelic mutations in TTC26 (IFT56) cause severe biliary ciliopathy in humans. | ||
Sci Adv Ciliopathy protein HYLS1 coordinates the biogenesis and signaling of primary cilia by activating the ciliary lipid kinase PIPKIγ. | ||
Nat Commun A distal centriolar protein network controls organelle maturation and asymmetry. | ||
Nat Commun Kinesin-2 and IFT-A act as a complex promoting nuclear localization of β-catenin during Wnt signalling. |











